2/8

Femeia în vârstă de 50 de ani care a născut tripleți. Cum e posibil și care e explicația medicilor | Imaginea 2 din 8 | Galerie Foto

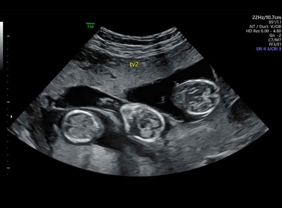
Chiar dacă medicii i-au dat șanse puține, Marie a reușit să rămână însărcinată cu tripleți. Femeia în vârstă de 50 de ani care a născut tripleți. Cum e posibil și care e explicația medicilor Femeia în vârstă de 50 de ani care a născut tripleți. Cum e posibil și care e explicația medicilor Femeia în vârstă de 50 de ani care a născut tripleți. Cum e posibil și care e explicația medicilor Femeia în vârstă de 50 de ani care a născut tripleți. Cum e posibil și care e explicația medicilor Femeia în vârstă de 50 de ani care a născut tripleți. Cum e posibil și care e explicația medicilor Femeia în vârstă de 50 de ani care a născut tripleți. Cum e posibil și care e explicația medicilor Femeia în vârstă de 50 de ani care a născut tripleți. Cum e posibil și care e explicația medicilor