Doctorul este pneumolog în Spania, iar pe contul său de Twitter a apărut un mesaj acid, însoțit de două radiografii ale unui tânăr de 28 de ani, spaniol și el, a cărui stare s-a agravat după ce s-a infectat cu noul tip de coronavirus.
Citește și:
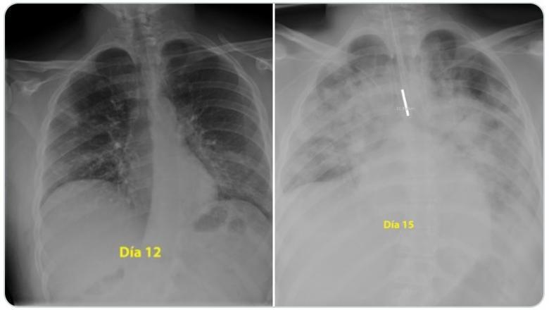
În doar trei zile, plămânii bărbatului au fost măcinați de penumonie, lucru pe care medicul îl explică în imaginile atașate.
Prima radiografie a fost realizată în a 12-a zi de boală a tânărului, a doua în a 15-a zi de boală, după cum sugerează și imaginile.

Spania, a doua cea mai afectată țară de Covid-19 din Europa, după Italia
Parlamentul spaniol a adoptat în noaptea de miercuri spre joi un text prin care prelungeşte de la 15 la 30 de zile starea de urgenţă declarată în Spania în vederea opririi răspândirii noului coronavirus, al cărui bilanţ al deceselor l-a depăşit pe al Chinei, unde a apărut epidemia în decembrie, relatează Reuters.
Izolarea aflată în vigoare în ţară şi închiderea şcolilor, restaurantelor şi majorităţii magazinelor a fost prelungintă, astfel, până la 14 aprilie.
Potrivit ultimului bilanţ oficial, anunţat miercuri de Ministerul Sănătăţii, Spania a înregistrat 738 de decese suplimentare într-o singură zi, bilanţul total almorţilor crescând astfel la 3.434 de decese.
Ruşii, îndemnaţi ”să rămână acasă” de către Putin, care recunoaşte pericolul noului coronavirus ce-i dă peste cap reform... Guvernul Kosovo, răsturnat printr-o moţiune de cenzură în toiul pandemiei noului coronavirus...