Doctorul Yale Tung Chen, în vârstă de 35 de ani, s-a infectat cu coronavirus în timp ce își trata pacienți, la Spitalul Universitar „La Paz” din Madrid.
De când s-a infectat cu COVID-19, medicul a publicat ecografii ale plămânilor săi pe o rețea de socializare și și-a prezentat simptomele, pentru a explica întregii lumi cum afectează noul coronavirus organismul uman.
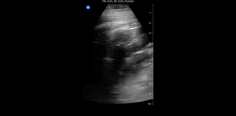
„Ziua 1 după ce am fost diagnosticat cu COVID-19. Durere în gât, durere de cap puternică, tuse seacă, dar fără dificultate respiratorie. Fără anormalități la plămâni, la ecografie”, a scris el, în primul astfel de mesaj.

Plămânii doctorului Yale Tung Chen, în prima zi după diagnosticul COVID-19.
Medicul, care se află în carantină în locuința lui, a început să se simtă rău, la spital, la sfârșitul programului.
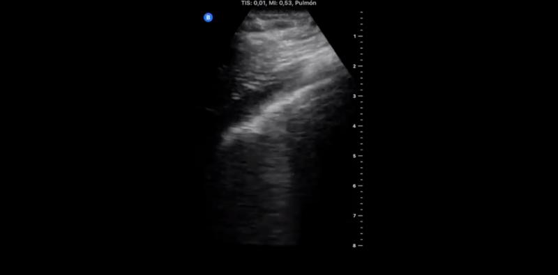
În cea de-a doua zi de autoizolare, medicul a scris: „Ziua 2 după ce am fost diagnosticat cu COVID-19. Durere mai slabă în gât, tuse și durere de cap, fără dificultăți respiratorii sau durere în piept”. Însă, medicul a precizat că a început să observe schimbări în plămânii săi, precum linia pleurală îngroșată.

Plămânii doctorului Yale Tung Chen, în a doua zi după diagnosticul COVID-19.
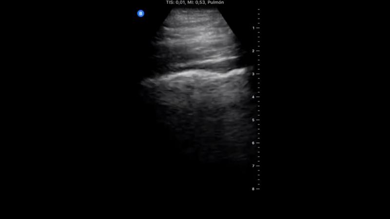
În cea de-a treia zi de la diagnosticul COVID-19, medicul a scris că nu mai avea durere în gât ori durere de cap. A fost chinuit de tuse, fără dificultate în respirație sau durere în piept. „A început diareea, tusea a început să mă lase. Aceleași modificări la plămâni”, a mai scris el.

Plămânii doctorului Yale Tung Chen, în a treia zi după diagnosticul COVID-19.
„Ziua 4 după diagnosticul de coronavirus. Mia multă tuse și foarte multă oboseală. Fără dispnee sau durere în piept”, a mai scris el, arătând alte modificări mici la plămânii săi.

Plămânii doctorului Yale Tung Chen, în a treia zi după diagnosticul COVID-19.
Medicul a mai spus că după ce familia lui a fost testată negativ cu coronavirus, a făcut-o să părăsească locuința și să îl lase singur în carantină.
„I-am dat afară pe toți. Au plecat la rude. Acum am toată casa pentru mine – ceea ce este minunat, că am tot spațiul la dispoziție”, a spus el.
Doctorul Yale Tung Chen așteaptă acum să scape de simptome, astfel încât să se testeze din nou, în speranța că va afla că a scăpat de coronavirus.
Trump a declarat urgenţă naţională în privinţa coronavirusului. Vor fi alocaţi 50 de miliarde de dolari pentru sistemul ... China SCAPĂ de coronavirus! Numărul noilor cazurilor de contaminare este uimitor!...