Antena Căutare

Articole despre dinti

Cum îți convingi copilul să se spele pe dinți

Cum îți convingi copilul să se spele pe dinți

Cum îți convingi copilul să se spele pe dinți. Ruxandra Luca a rugat specialiștii să ne explice cât de important este să ne curățăm dantura. Iată ce metode putem folosi.

Marti, 17.07.2018, 12:39
Dinți lipsă - Implantul Fast and Fixed, soluția revoluționară pentru o dantură nouă într-o zi

Dinți lipsă - Implantul Fast and Fixed, soluția revoluționară pentru o dantură nouă într-o zi

Pierderea dinților conduce la o mulțime de dezavantaje în viața unei persoane. Pe lângă dificultatea de a mesteca, de a vorbi, apare și temerea de a zâmbi, de a te bucura de o viață socială normală.

Luni, 16.07.2018, 14:04
O tânără s-a spălat cu bicarbonat pe cap și a așteptat! Ce a observat în câteva minute

O tânără s-a spălat cu bicarbonat pe cap și a așteptat! Ce a observat în câteva minute

Bicarbonatul de sodiu este un ingredient nelipsit din bucătăriile gospodinelor, mai ales atunci când vine vorba despre pregătit prăjituri. 

Vineri, 29.06.2018, 21:38
Tot ce trebuie să afli despre implanturile dentare!

Tot ce trebuie să afli despre implanturile dentare!

Trăim într-o lume în care totul evoluează. Pe zi ce trece apar tot mai multe inovații în  toate domeniile, desfășurându-se rapid și cu exactitate. Nu degeaba este numit " secolul vitezei". Când spun  totul evoluează mă refer inclusiv la oameni, la mentalitățile lor, la modul de gestiona o situație.

Sambata, 23.06.2018, 11:41
Durerile de cap şi de maxilar sunt primele simptome ale bolii vieţii moderne, bruxismul!

Durerile de cap şi de maxilar sunt primele simptome ale bolii vieţii moderne, bruxismul!

Bruxismul sau scrâșnitul din dinți, aşa cum mai este cunoscută este o afecțiune dentară foarte comună, întâlnită atât la adulți, cât și la copii. Această afecţiune se caracterizează prin scrâșnitul din dinți, încleștarea...

Miercuri, 06.06.2018, 09:31
De ce nu au păsările dinți! Explicația i-a bulersat pe toți!

De ce nu au păsările dinți! Explicația i-a bulersat pe toți!

Deși pare greu de crezut, păsările au avut inițial dinți! Totuși, de-a lungul timpului, evoluția le-a făcut pe îanripate să rămână „știrbe”! Motivul este surprinzător și i-a bulversat chiar și pe oamenii de știință.

Marti, 29.05.2018, 11:47
Cum poți să-ți albești dinții cu două ingrediente din bucătărie: „Este recomandat uleiul de cocos și de măsline”

Cum poți să-ți albești dinții cu două ingrediente din bucătărie: „Este recomandat uleiul de cocos și de măsline”

Cele mai multe persoane folosesc bicarbonatul de sodiu și zeamă de lămâie. Însă există două ingredinte, folosite în bucătărie, care fac reale minuni.

Vineri, 30.03.2018, 12:40
Albește-ți dinții cu ingrediente din bucătărie: „Este recomandat uleiul de cocos și măsline pentru întreținere”

Albește-ți dinții cu ingrediente din bucătărie: „Este recomandat uleiul de cocos și măsline pentru întreținere”

Albește-ți dinții cu ingrediente din bucătărie. Cele mai multe persoane folosesc bicarbonatul de sodiu și zeamă de lămâie. Ce sfaturi ne dă specialistul.

Vineri, 30.03.2018, 11:59
Cine este Macanache, prezentatorul noului show de la Antena 1 - "The Four - Cei Patru": "Nici nu mi-am dat seama că nu am dinți, când am scos clip"

Cine este Macanache, prezentatorul noului show de la Antena 1 - "The Four - Cei Patru": "Nici nu mi-am dat seama că nu am dinți, când am scos clip"

Macanache este MC, originar din Cartierul Titan. Numele său real este Dinescu Constantin-Bogdan și s-a lansat în muzică în anul 2015 cu cantecul „Ăsta sunt eu”, ca artist independent.

Luni, 26.03.2018, 12:28
Cea mai mare minciună pe care ți-o zic dentiștii! Îți vând pastă de dinți la suprapreț și nici nu face banii!

Cea mai mare minciună pe care ți-o zic dentiștii! Îți vând pastă de dinți la suprapreț și nici nu face banii!

Pasta de dinți, ca multe lucruri pe care le folosești și de care te folosești în viața de zi cu zi, prezintă câteva pretenții care par să fie prea bune ca să fie și adevărate. Una dintre aceste false promisiunii, descrisă...

Luni, 19.03.2018, 17:50
Tipuri de implant dentar si ce trebuie sa stii despre ele

Tipuri de implant dentar si ce trebuie sa stii despre ele

Inainte de primul tau implant dentar, medicul dentist iti va da foarte multe detalii cu privire la proceduri, analize si radiografii. Insa, ca in orice alta situatie, nu strica sa te informezi din cat mai multe surse cu putinta.

Joi, 15.03.2018, 16:23
Ce se întâmplă dacă mesteci GUMĂ mai mult de 20 de minute

Ce se întâmplă dacă mesteci GUMĂ mai mult de 20 de minute

Guma de mestecat, prietenul sau dușmanul danturii? Aceasta nu doar că împrospătează respirația, dar protejează dinții împotriva bacteriilor. Studiile recente au dezvăluit detalii neștiute despre guma de mestecat.

Luni, 12.03.2018, 09:53
Spălatul pe dinți, înainte sau după micul dejun? Greșeala pe care toată lumea o face

Spălatul pe dinți, înainte sau după micul dejun? Greșeala pe care toată lumea o face

Spălatul pe dinți este absolut obligatoriu dacă ne dorim să avem dinți sănătoși. Știm că seara nu trebuie să sărim peste acest lucru, dimineața la fel. Însă la cât timp după ce ne-am trezit trebuie să ne spălăm? Înainte sau după micul dejun?

Miercuri, 07.03.2018, 23:47
Aceste alimente sunt extrem de periculoase pentru dantură. Evitați să le consumați

Aceste alimente sunt extrem de periculoase pentru dantură. Evitați să le consumați

Cei care ne întrebăm de ce ne confruntăm cu dureri de dinți, ar trebui să facem ceva mai mult decât să ne periem dinții de două ori pe zi. În plus, ațe dentară nu ar trebui să ne lipsească.  Mai jos vă...

Duminica, 04.03.2018, 12:36
Delia către Bendeac: "De ce nu mi-ai spus că am mac între dinți?"

Delia către Bendeac: "De ce nu mi-ai spus că am mac între dinți?"

Delia se supără pe colegii săi de la masa juriului. Bendeac și Cheloo nu au observat macul între dinții colegei sale și au lăsat-o să râdă fără să o oprească.

Duminica, 25.02.2018, 13:51
Românii dau bani grei pentru metoda asta de albire a dinților, dar habar n-au că riscă BOLI GRAVE!

Românii dau bani grei pentru metoda asta de albire a dinților, dar habar n-au că riscă BOLI GRAVE!

În căutarea unui zâmbet impecabil, tot mai mulţi tineri aleg să-şi albească dinţii acasă fără un consult stomatologic. Benzi care promit rezultate miraculoase într-un timp record sunt intens promovate pe internet....

Luni, 19.02.2018, 21:22
Tinerii care aleg să-şi albească dinţii acasă fără un consult stomatologic riscă probleme grave

Tinerii care aleg să-şi albească dinţii acasă fără un consult stomatologic riscă probleme grave

În căutarea unui zâmbet impecabil, tot mai mulţi tineri aleg să-şi albească dinţii acasă fără un consult stomatologic. Benzi care promit rezultate miraculoase într-un timp record sunt intens promovate pe internet.

Luni, 19.02.2018, 19:26
Românii merg la stomatolog doar când rămân fără dinți!

Românii merg la stomatolog doar când rămân fără dinți!

Prea mulţi românii merg la medic doar atunci când îi doare ceva. Aşa s-a ajuns în situaţii dramatice. Jumătate dintre români sunt în pericol de a-şi pierde dantura. Principala cauză este parodontoza, o boală care nu doare şi de care...

Duminica, 14.01.2018, 13:48
S-au bătut parte în parte! Dinții lui Liviu Vârciu i-au lăsat urme adânci pe brațul lui Nea Mărin: ”Am crezut că leșin de durere!”

S-au bătut parte în parte! Dinții lui Liviu Vârciu i-au lăsat urme adânci pe brațul lui Nea Mărin: ”Am crezut că leșin de durere!”

Liviu Vârciu și Nea Mărin s-au bătut parte în parte! ”Am crezut că leșin de durere!”, a exclamat nea Mărin în timp ce cerea insistent o pungă de gheață pentru a-și acoperi rana de pe braț.

Miercuri, 03.01.2018, 21:09
S-au bătut parte în parte! Dinții lui Liviu Vârciu i-au lăsat urme adânci pe brațul lui Nea Mărin: ”Am crezut că leșin de durere!”

S-au bătut parte în parte! Dinții lui Liviu Vârciu i-au lăsat urme adânci pe brațul lui Nea Mărin: ”Am crezut că leșin de durere!”

Liviu Vârciu și Nea Mărin s-au bătut parte în parte! ”Am crezut că leșin de durere!”, a exclamat nea Mărin în timp ce cerea insistent o pungă de gheață pentru a-și acoperi rana de pe braț.

Miercuri, 03.01.2018, 20:52
Dinţii căzuţi de la copii sunt „Comori de aur”! Motivul pentru care să nu-i arunci

Dinţii căzuţi de la copii sunt „Comori de aur”! Motivul pentru care să nu-i arunci

Dinţii de lapte căzuţi ai copilului sunt nu doar un moment emoţionant în orice familie, aceştia au ajuns să aibă o menire mult mai folositoare.

Vineri, 15.12.2017, 20:49
Atenție! Dulciurile de sărbători cresc riscul cariilor!: ”Este recomandat să îi dai copilului ciocolată amară”

Atenție! Dulciurile de sărbători cresc riscul cariilor!: ”Este recomandat să îi dai copilului ciocolată amară”

Beatrice Gâsman vorbește despre sănătatea dentară a copiilor. Aceștia trebuie să își perieze dinții cu o pastă de dinți potrivită.

Joi, 14.12.2017, 11:39
Un tânăr a trecut prin clipe de coșmar după ce țigara electronică i-a explodat în față!

Un tânăr a trecut prin clipe de coșmar după ce țigara electronică i-a explodat în față!

Un tânăr a trecut prin clipe de coșmar după ce țigara electronică pe care o fuma i-a explodat în față, lăsându-l cu răni extrem de grave.

Luni, 11.12.2017, 20:36
Andreea Bănică, de urgență la spital. Un dansator i-a spart dinții

Andreea Bănică, de urgență la spital. Un dansator i-a spart dinții

Andreea Bănică a ajuns de urgență la spital după ce un dansator a lovit-o cu microfonul și i-a spart dinții din față. Din fericire, vedeta este într-o stare mai bună.

Marti, 28.11.2017, 10:23
Se spune că dinţii sunt cartea de vizită a oricărei persoane, mai ales pentru vedete

Se spune că dinţii sunt cartea de vizită a oricărei persoane, mai ales pentru vedete

Tocmai de aceea, multe staruri nu s-au ferit să poarte aparatul dentar chiar şi pe covorul roşu. Ba chiar au creat din asta o modă. Astfel că aparatul dentar a devenit unul dintre cele mai cool accesorii.

Luni, 27.11.2017, 07:47
S-a luat la "trântă" cu un rechin de doi metri și a câștigat! Un surfer s-a salvat, după ce i-a tras un pumn în nas: "L-am văzut ieșind din apă, cu dinții"

S-a luat la "trântă" cu un rechin de doi metri și a câștigat! Un surfer s-a salvat, după ce i-a tras un pumn în nas: "L-am văzut ieșind din apă, cu dinții"

Un doctor britanic care a fost atacat de un rechin în timp ce făcea surfing în Australia a declarat că a supraviețuit pentru că a lovit animalul în nas, în același fel în care a procedat și faimosul surfer Mick Fanning în timpul unei competiții în urmă cu doi ani.

Miercuri, 15.11.2017, 09:07
Era ca oricare nou-născut, dar când s-au uitat cu atenție la gurița lui, medicii au încremenit! Cazul este unic în lume! FOTO

Era ca oricare nou-născut, dar când s-au uitat cu atenție la gurița lui, medicii au încremenit! Cazul este unic în lume! FOTO

Ce au descoperit medicii?

Sambata, 11.11.2017, 18:59
Sfatuiri de la Nicoleta Luciu: „Nu veți face niciodată carii”

Sfatuiri de la Nicoleta Luciu: „Nu veți face niciodată carii”

Toată lumea își dorește să aibă dinții albi, dar și sănătoși. Dacă vă imaginați că trebuie să cheltuiți o avere pentru a obține o dantură perfectă, Nicoleta Luciu ne învață cum să ne albim dinții cu un ingredient pe care îl...

Sambata, 11.11.2017, 10:12
Emilia Ghinescu, ultimatum pentru logodnicul ei: "Pe 20 noiembrie te aștept cu inelul în dinți"

Emilia Ghinescu, ultimatum pentru logodnicul ei: "Pe 20 noiembrie te aștept cu inelul în dinți"

Emilia Ghinescu i-a dat un ultimatum logodnicului! Interpreta de muzică populară i-a transmis un mesaj în direct şi i-a spus ce va întâmpla dacă anul acesta nu se căsătoresc!

Joi, 02.11.2017, 14:19
Cele mai tari trucuri pentru dinți mai albi. Nu trebuie să cheltuiești sume enorme

Cele mai tari trucuri pentru dinți mai albi. Nu trebuie să cheltuiești sume enorme

Cum poți obtine un zâmbet imaculat.

Miercuri, 04.10.2017, 16:09
Nu te-ai fi gândit niciodată să folosești niște lucruri uzuale în acest fel. Imaginația nu are limite!

Nu te-ai fi gândit niciodată să folosești niște lucruri uzuale în acest fel. Imaginația nu are limite!

Ce poti face cu niste lucruri uzuale.

Miercuri, 20.09.2017, 10:39
O femeie a găsit o pungă lipită de un copac și cu un bilet alături! Un oraș întreg râde acum de pățanie!

O femeie a găsit o pungă lipită de un copac și cu un bilet alături! Un oraș întreg râde acum de pățanie!

Când mergi liniștit pe stradă nu te aștepți să ai parte de multe lucruri ieșite din comun. Totuși, o femeie a trăit un adevărat șoc când a găsit o pungă agățată de un copac.

Marti, 22.08.2017, 13:53
Stomatologul lui Cristian Boureanu: ”Are șapte dinți afectați, iar unul dintre ei este retezat de la nivelul gingiei”

Stomatologul lui Cristian Boureanu: ”Are șapte dinți afectați, iar unul dintre ei este retezat de la nivelul gingiei”

Coffi Dima este omul care s-a ocupat de dantura lui Cristian Boureanu de aproape zece ani! ”Fotografiile le-am primit de la prietena lui, de la Laura, sunt făcute de el şi din ce am observat în fotografia respectivă sau în fotografiile...

Marti, 20.06.2017, 00:51
Misterul dinţilor distruşi ai lui Boureanu se adânceşte! Martor: ”Nu avea nicio umflătură, niciun plasture”

Misterul dinţilor distruşi ai lui Boureanu se adânceşte! Martor: ”Nu avea nicio umflătură, niciun plasture”

O femeie l-a văzut pe Cristian Boureanu chiar în dimineaţa în care a fost dus la un spital din capitală. Doamna Nicoleta este foarte revoltată şi, spune ea, avocaţii omului de afaceri mint când declară că ar avea dinţii şi arcada sparte....

Marti, 20.06.2017, 00:36
Doctorul lui Cristian Boureanu: "Un dinte a fost retezat, şapte afectaţi"

Doctorul lui Cristian Boureanu: "Un dinte a fost retezat, şapte afectaţi"

După ce a dat cu genunchiul, Boureanu a primit un pumn în figură, lovitură în urma căreia s-a ales cu şapte dinţi lipsă şi cu o leziune la ureche.

Vineri, 16.06.2017, 18:10
Imaginea care a șocat internetul. Una dintre cele mai frumoase femei ȘI-A PIERDUT DINȚII din față!

Imaginea care a șocat internetul. Una dintre cele mai frumoase femei ȘI-A PIERDUT DINȚII din față!

Emblematica actriță Demi Moore a mărturisit într-un program de televiziune cum i-a afectat stresul viața și fizionomia

Joi, 15.06.2017, 13:14
Unul dintre bătăuși copilului de 14 ani: ”A zis că îmi rupe dinții pe care îi mai am în gură!”

Unul dintre bătăuși copilului de 14 ani: ”A zis că îmi rupe dinții pe care îi mai am în gură!”

Unul dintre bătăuși copilului de 14 ani a intervenit telefonic la Acces Direct pentru a-și spune versiunea. ”A zis că îmi rupe dinții pe care îi mai am în gură!”, a afirmata cesta.

Joi, 25.05.2017, 17:53
Mama adolescentului mutilat: ”Trei băieți l-au bătut până i-au rupt dinții din gură!”

Mama adolescentului mutilat: ”Trei băieți l-au bătut până i-au rupt dinții din gură!”

Mama Florica îşi doreşte să vadă chipul fiului său aşa cum era înainte să fie bătut cu bestialitate, însă asta nu se va întâmpla vreodată. Copilul ei a fost mutilat! Și totul a pornit de la un. telefon pe care l-a dat la schimb, cu un...

Joi, 25.05.2017, 17:13
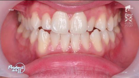
De ce este important să îndreptăm dinţii la copii?

De ce este important să îndreptăm dinţii la copii?

A avea dinţi drepţi este important nu numai pentru felul în care arătăm. Dinţii care nu stau drepţi, sunt înghesuiţi şi ies din linia normala a arcadelor afecteaza modul în care o persoană mestecă, vorbeşte sau zâmbeşte.

Joi, 25.05.2017, 12:21
Uită de cafeaua neagră! S-a inventat un sortiment la care te uiți și te minunezi!

Uită de cafeaua neagră! S-a inventat un sortiment la care te uiți și te minunezi!

Cafeaua nu mai este deloc ceea ce știam până acum, căci cea mai consuamtă băutură a dimineții a trecut printr-o transformare totală!

Joi, 20.04.2017, 22:07
Natalia Mateuţ, despre despărțirea de iubit: ”Mi-am pierdut mai mulți dinți de-a lungul relației!”

Natalia Mateuţ, despre despărțirea de iubit: ”Mi-am pierdut mai mulți dinți de-a lungul relației!”

Întrebată ”Care sunt motivele pentru care te-ai despărţit de Dinte, după o relaţie tumultoasă de 6 ani?”, Natalia Mateuţ a răspuns extrem de sincer.

Miercuri, 15.03.2017, 00:07
Natalia Mateuţ, despre despărțirea de iubit: ”Mi-am pierdut mai mulți dinți de-a lungul relației!”

Natalia Mateuţ, despre despărțirea de iubit: ”Mi-am pierdut mai mulți dinți de-a lungul relației!”

Întrebată ”Care sunt motivele pentru care te-ai despărţit de Dinte, după o relaţie tumultoasă de 6 ani?”, Natalia Mateuţ a răspuns extrem de sincer.

Marti, 14.03.2017, 23:49
Avertisment din partea medicilor. Scrâşnitul din dinţi dăunează grav sănătăţii !

Avertisment din partea medicilor. Scrâşnitul din dinţi dăunează grav sănătăţii !

Să strângi din dinţi, atunci când îţi e greu. Nu este doar o expresie, ci o boală care afectează opt din zece români. Se numeşte bruxism şi are efecte grave asupra danturii, dar şi asupra psihicului.

Joi, 02.03.2017, 07:46
Scrâşnitul din dinţi dăunează grav sănătăţii

Scrâşnitul din dinţi dăunează grav sănătăţii

Să strângi din dinţi, atunci când îţi e greu. Nu este doar o expresie, ci o boală care afectează opt din zece români. Se numeşte bruxism şi are efecte grave asupra danturii, dar şi asupra psihicului.

Miercuri, 01.03.2017, 20:07
Rețeta bio care-ți albește dinții PE LOC face furori! Totul se prepară rapid și ieftin, iar eficiența e uluitoare!

Rețeta bio care-ți albește dinții PE LOC face furori! Totul se prepară rapid și ieftin, iar eficiența e uluitoare!

Bicarbonatul de sodiu, aloe vera şi sâmburii de struguri pot transforma complet dantura, spun specialiştii. Procedura nu se face la stomatolog, ci într-un salon de înfrumuseţare. Tratamentul promite dinţi cu până la 8...

Joi, 23.02.2017, 09:29
Albirea bio a dinţilor este cea mai nouă armă pentru un zâmbet perfect

Albirea bio a dinţilor este cea mai nouă armă pentru un zâmbet perfect

Bicarbonatul de sodiu, aloe vera şi sâmburii de struguri pot transforma complet dantura, spun specialiştii. Procedura nu se face la stomatolog, ci într-un salon de înfrumuseţare. Tratamentul promite dinţi cu până la 8 tonuri mai albi.

Miercuri, 22.02.2017, 20:08
Estetica dentară, un must-have

Estetica dentară, un must-have

Ne dorim să arătăm bine, să impresionăm prin simpla prezenţă şi să atragem toate privirile. Zâmbim larg, iar acela este momentul în care nu trebuie să ne pierdem încrederea în noi. Un surâs frumos trebuie să se potrivească cu aspectul...

Sambata, 18.02.2017, 08:33
Vrei să ai zâmbet de reclamă? Aparatul dentar este soluția!

Vrei să ai zâmbet de reclamă? Aparatul dentar este soluția!

Ce este aparatul dentar? Poate parea incomod, dar în momentul în care tratamentul este finalizat, dinţii vor fi perfect aliniaţi. Aparatul dentar este format din nişte brackeţi, amplasaţi pe suprafaţa vestibulară, ce pot fi de metal , sau de...

Vineri, 27.01.2017, 12:08
Vremea va fi senină, iar soarele va fi cu dinți în a doua zi de Crăciun

Vremea va fi senină, iar soarele va fi cu dinți în a doua zi de Crăciun

Moșul a venit încărcat cu daruri și de această dată chiar nu sunt reci. Vremea va fi senină în majoritatea zonelor, iar soarele va fi cu dinți.

Luni, 26.12.2016, 08:46
VIRAL! Glumă? Nici pomeneală! Prietenos din fire, un pește își lasă îngrijitorul să-l spele pe dinți: ”N-am mai întâlnit așa ceva!”

VIRAL! Glumă? Nici pomeneală! Prietenos din fire, un pește își lasă îngrijitorul să-l spele pe dinți: ”N-am mai întâlnit așa ceva!”

Un pește cu o lungime de un metru, de la acvariul din Nagoya, Japonia, a devenit atât de apropiat de oameni că în prezent cere să fie mângâiat și să fie spălat pe dinți de îngrijitorul său, scrie agenția Kyodo.

Luni, 19.12.2016, 16:39
x