Antena Căutare

Extern

Citeste cele mai noi stiri externe pe A1.ro. Afla primul stirile internationale de ultima ora din diaspora si intreaga lume. Fii la zi cu noutatile din presa.

Comisia Europeană acordă o scutire de taxe vamale şi de TVA pentru importurile de echipamente medicale din ţări din afara UE

Comisia Europeană acordă o scutire de taxe vamale şi de TVA pentru importurile de echipamente medicale din ţări din afara UE

Comisia a decis vineri să aprobe cererile primite din partea statelor membre şi a Regatului Unit care solicitau scutirea temporară de la plata taxelor vamale şi a TVA la importurile de dispozitive medicale şi de echipamente de protecţie din ţări terţe, pentru a contribui la combaterea coronavirusului.

Vineri, 03.04.2020, 20:23
Fostul recordman mondial la maraton Wilson Kipsang, arestat în Kenya, pentru că nu a respectat măsurile de izolare

Fostul recordman mondial la maraton Wilson Kipsang, arestat în Kenya, pentru că nu a respectat măsurile de izolare

Fostul recordman mondial la maraton Wilson Kipsang a fost arestat în Kenya, pentru că nu a respectat măsurile de izolare, el petrecându-şi în arest noaptea de joi spre vineri.

Vineri, 03.04.2020, 19:46
Coronavirus în Italia: Alte 766 de decese în ultimele 24 de ore. În Lombardia continuă să crească numărul infectărilor

Coronavirus în Italia: Alte 766 de decese în ultimele 24 de ore. În Lombardia continuă să crească numărul infectărilor

Oficialii italieni au anunţat vineri un nou bilanţ al crizei în Peninsulă: 766 de decese într-o zi şi alte 2.339 de persoane diagnosticate cu Covid-19.

Vineri, 03.04.2020, 19:32
Alertă! Experții spun că virusul Covid-19 poate fi transmis şi prin vorbire. Masca de protecție ar putea deveni obligatorie

Alertă! Experții spun că virusul Covid-19 poate fi transmis şi prin vorbire. Masca de protecție ar putea deveni obligatorie

Este posibil ca noul coronavirus să se transmită şi când oamenii vorbesc şi respiră, a declarat un înalt responsabil ştiinţific al guvernului american. Transmisia pe cale aeriană ar oferi o explicaţie căutată de mult timp pentru gradul de contaminare ridicat cu virusul responsabil de pandemia COVID-19 pentru că se pare că persoanele infectate, dar fără simptome, sunt responsabile de o mare parte din contaminări, fără să ştie.

Vineri, 03.04.2020, 19:09
Regina Elisabeta, primul mesaj de la izbucnirea pandemiei de coronavirus, adresat britanicilor

Regina Elisabeta, primul mesaj de la izbucnirea pandemiei de coronavirus, adresat britanicilor

Regina Elizabeth a II-a a înregistrat un mesaj adresat britanicilor şi ţărilor membre ale Commonwealthului cu privire la pandemia noului coronavirus, a anunţat vineri Palatul Buckingham, relatează The Associated Press.

Vineri, 03.04.2020, 18:58
Bilanţul morţilor de covid-19 continuă să crească alarmant și în Marea Britanie. 684 de decese într-o zi

Bilanţul morţilor de covid-19 continuă să crească alarmant și în Marea Britanie. 684 de decese într-o zi

Bilanţul morţilor din cauza noului coronavirus în Marea Britanie a crescut cu 684 (23%) la 3.605 de decese până joi la ora 16.00 GMT (19.00, ora României), a anunţat vineri Ministerul britanic al Sănătăţii, relatează Reuters.

Vineri, 03.04.2020, 18:44
Cum va arăta viața în Europa, după pandemia de coronavirus, inclusiv în România. Wuhan revine treptat la viaţă, dar rămân restricții

Cum va arăta viața în Europa, după pandemia de coronavirus, inclusiv în România. Wuhan revine treptat la viaţă, dar rămân restricții

În Wuhan, autovehiculele circulă din nou pe străzi, iar pasionaţii de cumpărături redescoperă marile centre comerciale, însă oraşul chinez care a fost epicentrul epidemiei de COVID-19 este în continuare în alertă în faţa pericolului coronavirusului.

Vineri, 03.04.2020, 18:09
Detalii uimitoare ies la iveală! După primele cazuri de coronavirus, Italia ar fi cerut ajutor altor state membre UE și nimeni nu a răspuns

Detalii uimitoare ies la iveală! După primele cazuri de coronavirus, Italia ar fi cerut ajutor altor state membre UE și nimeni nu a răspuns

La finalul lui februarie, Italia a cerut ajutorul altor state membre UE. Avea deja câteva sute de cazuri de infectare cu coronavirus. A solicitat echipamente de protecție pentru medici, însă nimeni nu a răspuns. Europa nu a avut nicio reacție în fața a ceea ce avea să devină pandemie mondială și nimeni nu a văzut dimensiunea problemei.

Vineri, 03.04.2020, 16:13
Boris Johnson, testat pozitiv cu noul coronavirus în urmă cu o săptămână, îşi prelungeşte carantina

Boris Johnson, testat pozitiv cu noul coronavirus în urmă cu o săptămână, îşi prelungeşte carantina

Premierul britanic Boris Johnson, bolnav de covid-19, a anunţat vineri că-şi prelungeşte carantina în care se află peste cele şapte zile recomandate de către autorităţile sanitare britanice, până când nu va mai prezenta simptome, relatează AFP.

Vineri, 03.04.2020, 15:50

Un imens spital de campanie, Nightingale, într-un centru de conferinţe la Londra, inaugurat prin videoconferinţă de către prinţul Charles, ieşit din carantină după ce s-a contaminat cu noul coronavirus şi ministrul Sănătăţii Matt Hancock

Un imens spital de campanie a fost deschis vineri, într-un centru de conferinţe londonez, ExCel, pus la punct în mai puţin de zece zile, în vederea înfruntăriiunuiaflux tot mai mare de bolnavi contaminaţi cu noul coronavirus, relatează AFP.

Vineri, 03.04.2020, 15:30

Vaccinul BCG împotriva tuberculozei, un posibil ”scut” pentru personalul din sănătate în lupta împotriva noului coronavirus

Mai multe studii verifică posibile efecte de protecţie faţă de covid-19 ale unui vaccin împotriva tuberculozei, în contextul în care dezvoltarea unui vaccin împotriva SARS CoV-2 urmează să dureze încă luni de zile, relatează AFP.

Vineri, 03.04.2020, 14:54
Polițista Laura, de 24 de ani, implicată în supravegherea respectării măsurilor împotriva COVID-19, s-a trezit cu un cap de porc pe mașină! Tatăl ei: „Sunt furios!” – FOTO

Polițista Laura, de 24 de ani, implicată în supravegherea respectării măsurilor împotriva COVID-19, s-a trezit cu un cap de porc pe mașină! Tatăl ei: „Sunt furios!” – FOTO

O polițistă din Regatul Unit al Marii Britanii și al Irlandei de Nord, implicată, alături de colegii ei, în supravegherea respectării măsurilor de siguranță, în contextul pandemiei de coronavirus, s0a trezit cu un cap de porc pe mașina ei.

Vineri, 03.04.2020, 14:09

Bilanţul covid-19 în Iran creşte cu 134 de morţi la 3.294 de decese şi cu 2.715 de contaminări la 53.183 de cazuri

Iranul a înregistrat 134 de morţi în ultima zi, ceea ce creşte bilanţul la 3.294 de decese din cauza covid-19, a anunţat vineri un purtător de cuvţnt al Ministerului iranian al Sănătăţii, relatează Reuters.

Vineri, 03.04.2020, 14:04

Angela Merkel iese din carantină şi se întoarce la Cancelaria germană

Angela Merkel a ieşit din izolare şi s-a dus la sediul Cancelariei vineri, după mai multe teste de detectare a noului coronavirus - care s-au dovedit negative, a anunţat purtătorul său de cuvânt, relatează Reuters.

Vineri, 03.04.2020, 13:19

Spania înregistrează peste 900 de morţi a doua zi consecutiv; bilanţul deceselor creşte la 10.935, iar al contaminărilor la 117.000

Spania - a doua cea mai îndoliată ţară din lume de pandemia covid-19 - a înregistrat peste 900 de morţi vineri - a doua zi consecutiv -, ceea ce creşte bilanţul deceselor la 10.935, au anunţat autorităţile, relatează AFP.

Vineri, 03.04.2020, 13:15
În ciuda pandemiei, NASA se pregăteşte pentru misiuni cu echipaj pe Lună şi pe Marte

În ciuda pandemiei, NASA se pregăteşte pentru misiuni cu echipaj pe Lună şi pe Marte

NASA va continua să-şi pregătească misiunile cu echipaj pe Lună şi pe Marte, în ciuda pandemiei, în cadrul programului Artemis, a declarat, joi, administratorul Jim Bridenstine.

Vineri, 03.04.2020, 13:09

Izolarea în Italia urmează să fie prelungită cel puţin până la 1 mai, anunţă directorul Protecţiei Civile Angelo Borrelli

Măsurile de izolare aflate în vigoare de la 9 martie în Italia urmează să fie prelungite cel puţin până la 1 mai, a apreciat vineri directorul Protecţiei Civile Angelo Borrelli, relatează Reuters.

Vineri, 03.04.2020, 13:05
Premierul italian îndeamnă UE să fie ”mai ambiţioasă, unită şi curajoasă” răspunzând scuzelor prezentate de preşedinta CE Ursula von der Leyen Italiei

Premierul italian îndeamnă UE să fie ”mai ambiţioasă, unită şi curajoasă” răspunzând scuzelor prezentate de preşedinta CE Ursula von der Leyen Italiei

Şeful Guvernului italian Giuseppe Conte a îndemnat vineri Uniunea Europeană să fie ”mai ambiţioasă, unită şi curajoasă” împotriva pandemiei covid-19, într-un răspuns pe care-l dă preşedintei Comisiei Europene (CE) Ursula von der Leyen, relatează AFP.

Vineri, 03.04.2020, 12:37

Reuters: Bilanţul mondial al covid-19 depăşeşte un milion de îmbolnăviri şi 53.000 de morţi

Bilanţul mondial al pandemiei noului coronavirus a depăşit un milion de contaminări şi 53.000 de morţi, potrivit unei numărători realizată vineri, la ora 2.00 GMT (5.00, ora României) de către Reuters.

Vineri, 03.04.2020, 12:13
Expertul chinez care a descoperit virusul SARS face predicții optimiste despre pandemie! „Se va întâmpla până la finalul lui aprilie!”

Expertul chinez care a descoperit virusul SARS face predicții optimiste despre pandemie! „Se va întâmpla până la finalul lui aprilie!”

Pandemia de coronavirus ar putea fi sub control până la sfârșitul lunii aprilie, susține renumitul epidemiolog și pneumolog Zhong Nanshan, însă rămâne incertitudinea, spune el, dacă nu cumva va exista un alt focar de coronavirus în primăvara anului viitor.

Vineri, 03.04.2020, 12:08
Pandemia de COVID-19 face și un BINE imens lumii! „Nici prăbușirea URSS, nici crizele petroliere și bancare nu au reușit!”

Pandemia de COVID-19 face și un BINE imens lumii! „Nici prăbușirea URSS, nici crizele petroliere și bancare nu au reușit!”

Noul coronavirus (COVID-19) faceși un bine lumii întregi. În ce fel, mai exact, a explicat șeful eţele de oameni de ştiinţă ce face estimări privind poluarea.

Vineri, 03.04.2020, 11:58

Păstrarea frontierelor externe ale UE închise după Paşte, în discuţie la CE, anunţă Ursula von der Leyen

Discuţii se află în curs cu privire la o eventuală prelungire a închiderii frontierelor externe ale Uniunii Europene (UE) după Paşte, având în vedere că pandemia noului coronavirus este în toi, a anunţat vineri preşedinta Comisiei Europene (CE) Ursula von der Leyen, relatează Reuters.

Vineri, 03.04.2020, 11:56
Google publică rapoarte privind mobilitatea comunităţilor, pentru a sprijini lupta împotriva răspândirii COVID-19

Google publică rapoarte privind mobilitatea comunităţilor, pentru a sprijini lupta împotriva răspândirii COVID-19

Google publică, începând de vineri, prima versiune a rapoartelor privind mobilitatea populaţiei în contextul pandemiei provocate de coronavirus, „COVID-19 Community Mobility Reports”, pentru a oferi date privind schimbările în deplasarea populaţiei ca urmare a muncii de acasă, izolării la domiciliu şi altor politici menite să aplatizeze curba pandemiei.

Vineri, 03.04.2020, 11:52
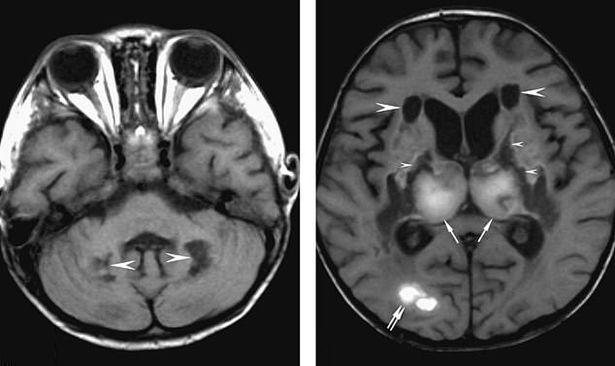
O nouă descoperire terifiantă despre COVID-19! Cum distruge creierul pacienților. Atenție, imagini cu un puternic impact emoțional! - FOTO

O nouă descoperire terifiantă despre COVID-19! Cum distruge creierul pacienților. Atenție, imagini cu un puternic impact emoțional! - FOTO

Noul coronavirus afectează și creierul, după cum avertizează medici din Statele Unite ale Americii, Italia și China. Experții au observat la unii pacienți infectați cu COVID-19 că au dezvoltat și probleme neurologice, unul dintre aceștia pierzând capacitatea de a vorbi. 

Vineri, 03.04.2020, 11:46

Diplomaţii străini, indezirabili la Beijing, din cauza unor contaminări în rândul acestora cu noul coronavirus

Ministerul chinez de Externe a invitat diplomaţii străini să nu se mai ducă la Beijing, a anunţat vineri o purtătoare de cuvânt a diplomaţiei chineze, relatează Reuters.

Vineri, 03.04.2020, 11:30
Controalele la frontiere în Franţa, prelungite până la sfârşitul lui octombrie, din cauza ”ameninţării teroriste” şi pandemiei covid-19

Controalele la frontiere în Franţa, prelungite până la sfârşitul lui octombrie, din cauza ”ameninţării teroriste” şi pandemiei covid-19

Franţa a informat Comisia Europeană (CE) că prelungeşte controlul la frontieră până la 30 octombrie, din cauza ”ameninţării teroriste”, dar şi a pandemiei noului coronavirus, relatează AFP.

Vineri, 03.04.2020, 11:04
Trump, testat din nou negativ de covid-19

Trump, testat din nou negativ de covid-19

Preşedintele american Donald Trump a fost testat din nou cu privire la noul coronavirus, iar rezultatul testului este negativ, a anunţat Casa Albă, relatează Reuters.

Vineri, 03.04.2020, 10:52
Netanyahu a prezentat, din greşeală, cabinetului său un clip din serialul „Pandemic” ca dovadă că Iranul ascunde numărul deceselor provocate de Covid-19

Netanyahu a prezentat, din greşeală, cabinetului său un clip din serialul „Pandemic” ca dovadă că Iranul ascunde numărul deceselor provocate de Covid-19

Prim-ministrul Benjamin Netanyahu a prezentat, din greşeală, cabinetului său un clip din serialul „Pandemic” ca dovadă că Iranul ascunde numărul deceselor provocate de Covid-19, scrie presa israeliană.

Vineri, 03.04.2020, 09:52
Cooperare judiciară România - SUA: Peste 170.000 de dolari, confiscaţi de la grupări stabilite în România care traficau droguri spre SUA, banii rezultaţi având ca destinaţie Hezbollah, au fost transferaţi către Ministerul Justiţiei

Cooperare judiciară România - SUA: Peste 170.000 de dolari, confiscaţi de la grupări stabilite în România care traficau droguri spre SUA, banii rezultaţi având ca destinaţie Hezbollah, au fost transferaţi către Ministerul Justiţiei

Suma de peste 170.000 de dolari - recuperată de la grupări stabilite în România care traficau droguri spre SUA, banii obţinuţi având ca destinaţie gruparea teroristă Hezbollah - a fost transferată către Ministerul Justiţiei - Agenţia Naţională de Administrare a Bunurilor Indisponibilizate. Membrii grupării au fost arestaţi în România, fiind extrădaţi şi condamnaţi în SUA,

Vineri, 03.04.2020, 09:45

Pandemie - Japonezii nu se autoizolează decât la ordinul prim-ministrului Shinzo Abe

Cei mai mulţi dintre salariaţii japonezi continuă să meargă la serviciu, folosind mijloacele de transport în comun, care sunt în continuare supraaglomerate, relatează CNN.

Vineri, 03.04.2020, 09:25
Experţii avertizează Casa Albă că răspândirea coronavoriusului este posibilă prin vorbire şi chiar simpla respiraţie

Experţii avertizează Casa Albă că răspândirea coronavoriusului este posibilă prin vorbire şi chiar simpla respiraţie

Un comitet format din oameni de ştiinţă a avertizat Casa Albă că o cercetare a arătat faptul că răspândirea coronavirusului este posibilă nu doar prin strănut şi tuse, ci şi prin vorbire sau chiar respiraţie.

Vineri, 03.04.2020, 08:48
Portugalia înăspreşte restricţiile de călătorie în perioada Paştelui, toate zborurile comerciale urmând să fie oprite din cauza coronavirusului

Portugalia înăspreşte restricţiile de călătorie în perioada Paştelui, toate zborurile comerciale urmând să fie oprite din cauza coronavirusului

Guvernul Portugaliei a înăsprit joi restricţiile de mişcare pentru a opri răspândirea coronavirusului în perioada vacanţei de Paşte, prin închiderea tuturor aeroporturilor pentru zborurile comerciale şi interzicerea călătoriilor interne în perioada 9-13 aprilie, transmite Reuters.

Vineri, 03.04.2020, 07:03
Facebook a lansat în Italia un serviciu de verificare a corectitudinii informaţiilor legate de coronavirus pe platforma WhatsApp

Facebook a lansat în Italia un serviciu de verificare a corectitudinii informaţiilor legate de coronavirus pe platforma WhatsApp

Facebook a lansat joi, în Italia, un serviciu de verificare a corectitudinii informaţiilor legate de coronavirus pe patforma WhatsApp, transmite Reuters.

Vineri, 03.04.2020, 06:18
Mai mult de un milion de cazuri de coronavirus au fost oficial înregistrate în lume. 188 de ţări şi teritorii au fost afectate de pandemie

Mai mult de un milion de cazuri de coronavirus au fost oficial înregistrate în lume. 188 de ţări şi teritorii au fost afectate de pandemie

Pragul de un milion de cazuri oficial declarate de coronavirus în lume a fost depăşit joi, în jurul orei 19.00 GMT, potrivit unui bilanţ realizat de AFP care citează surse oficiale.

Joi, 02.04.2020, 22:38
Sfâșietor! Șase copii au rămas orfani după ce mama lor a fost ucisă de coronavirus. Cum și-au luat rămas bun de la ea: ”Medicii ne-au ajutat. Ni s-a luat o piatră de pe suflet!”

Sfâșietor! Șase copii au rămas orfani după ce mama lor a fost ucisă de coronavirus. Cum și-au luat rămas bun de la ea: ”Medicii ne-au ajutat. Ni s-a luat o piatră de pe suflet!”

Scene sfâșietoare s-au desfășurat într-un spital din Washington, unde șase copii, care își pierduseră tatăl, au rămas și fără mamă din cauza coronavirusului. Aceștia n-au putut să fie alături de ea, însă și-au luat rămas bun prin intermediul unui aparat. 

Joi, 02.04.2020, 21:32
Bilanț negru în pandemia de Covid-19 în Franța! 471 de decese și 6.399 de persoane care se află la Terapie Intensivă

Bilanț negru în pandemia de Covid-19 în Franța! 471 de decese și 6.399 de persoane care se află la Terapie Intensivă

Oficialităţile franceze au anunţat 471 de decese în ultimele 24 de ore iar 6.399 de persoane se află la Terapie Intensivă.

Joi, 02.04.2020, 21:16
Studiu alarmant! În lume ar fi, de fapt, milioane de bolnavi de Covid-19! Trei infectați din zece nu sunt detectați la testul pentru coronavirus

Studiu alarmant! În lume ar fi, de fapt, milioane de bolnavi de Covid-19! Trei infectați din zece nu sunt detectați la testul pentru coronavirus

"Din 100 de pacienţi testaţi, 30 rămân nedepistaţi", este declarația îngrijorătoarea a unui medic francez, care susține că testele pentru Covid-10 pot avea o marjă de eroare care duce la continuarea răspândirii pandemiei de coronavirus. Concret, un pacient testat negativ, poate fi pozitiv și poate da mai departe infecția, susțin specialiștii.

Joi, 02.04.2020, 20:31
Bilanț negru. Mai mult de 50.000 de decese în lume din cauza coronavirusului

Bilanț negru. Mai mult de 50.000 de decese în lume din cauza coronavirusului

Bilanţul mondial al epidemiei de coronavirus a depăşit joi 50.000 de decese, potrivit datelor Universităţii Johns Hopkins.

Joi, 02.04.2020, 20:29
Încă un înalt oficial este bolnav de Covid-19. Preşedintele Parlamentului iranian, depistat pozitiv

Încă un înalt oficial este bolnav de Covid-19. Preşedintele Parlamentului iranian, depistat pozitiv

Preşedintele Parlamentului iranian Ali Larijani a fost testat şi diagnosticat cu coronavirus, a anunţat joi televiziunea de stat a Republicii islamice, unde mai mulţi deputaţi au contractat boala, scrie AFP.

Joi, 02.04.2020, 20:01
Trump anunţă că a intermediat un acord între Arabia Saudită şi Rusia privind reducerea producţiei de petrol; Preţurile petrolului au urcat temporar cu 45%

Trump anunţă că a intermediat un acord între Arabia Saudită şi Rusia privind reducerea producţiei de petrol; Preţurile petrolului au urcat temporar cu 45%

Preşedintele american Donald Trump a anunţat joi că a intermediat un acord între Arabia Saudită şi Rusia pentru reducerea semnificativă a producţiei de petrol şi oprirea declinului preţurilor în contextul pandemiei de coronavirus. Preţurile petrolului au urcat în timpul tranzacţiilor cu până la 45% în urma informaţiei, transmite Reuters.

Joi, 02.04.2020, 19:47
Italia, între agonie și extaz! Numărul morților crește de la o zi la alta, dar tot mai multe persoane sunt declarate vindecate de Covid-19

Italia, între agonie și extaz! Numărul morților crește de la o zi la alta, dar tot mai multe persoane sunt declarate vindecate de Covid-19

Şeful Protecţiei Civile din Italia, Angelo Borrelli, a anunţat joi noile date cu privire la pandemia de coronavirus: 760 de decese în ultimele 24 de ore, noile cazuri depistate sunt în număr de 2.477 iar persoane vindecate - 1.431.

Joi, 02.04.2020, 19:29
Caz uimitor! Medicii olandezi au îndemnat bătrânii infectați cu Covid-19 să renunțe la terapie intensivă: "Vom ajunge ca Italia, să alegem cine trăiește"

Caz uimitor! Medicii olandezi au îndemnat bătrânii infectați cu Covid-19 să renunțe la terapie intensivă: "Vom ajunge ca Italia, să alegem cine trăiește"

În Olanda, medicii le recomandă pacienţilor vârstnici să se gândească bine înainte de a fi de acord să fie trataţi de COVID-10 la terapie intensivă. Spitalele se tem că Olanda va fi forţată să urmeze exemplul Italiei, unde medicii au trebuit să ia decizii de viaţă şi de moarte şi să-i aleagă pe pacienţii ce urmau să primească tratament.

Joi, 02.04.2020, 19:02
Bărbat bătut în supermarket de clienții furioși! Un martor a filmat totul: „Ori îți pui masca, ori chem poliția”

Bărbat bătut în supermarket de clienții furioși! Un martor a filmat totul: „Ori îți pui masca, ori chem poliția”

Scene incredibile au fost surprinse de martori într-un supermarket din Italia, care devine tot mai afectată de epidemia de coronavirus. Un bărbat a fost luat la bătaie și oamenii înfuriați au anunțat că o să cheme carabinierii.

Joi, 02.04.2020, 17:23
Oamenii care fug din carantină, împușcați de forțele de ordine! Președintele filipinez: „Dacă îmi faci probleme, te bag în mormânt”

Oamenii care fug din carantină, împușcați de forțele de ordine! Președintele filipinez: „Dacă îmi faci probleme, te bag în mormânt”

Rodrigo Duterte, președintele statului Filipine, a oferit forțelor de ordine permisiunea de-a „trage și de a ucide” pe aceia care încalcă regulile privind carantina pentru coronavirus.

Joi, 02.04.2020, 16:12

Preşedinta Comisiei Europene Ursula von der Leyen ”prezintă scuze” Italiei

Preşedinta Comisiei Europene (CE) Ursula von der Leyen şi-a exprimat regretul faţă de întârzierea reacţiei Uniunii Europene (UE) împotriva pandemiei noului coronavirus în Italia, într-un editorial publicat în presa italiană joi, în care scrie ”vă prezint scuzele mele, suntem (împreună) cu voi”, relatează AFP.

Joi, 02.04.2020, 16:10

Spania a depăşit pragul de 10.000 de morţi

Spania a depăşit joi pragul de 10.000 de morţi din cauza noului coronavirus, după ce a înregistrat 950 de decese în 24 de ore - un ”record”, au anunţat autorităţile, relatează AFP.

Joi, 02.04.2020, 15:34

Organizaţia Mondială a Sănătăţii a lansat o platformă prin care este analizat răspunsul ţărilor UE la Covid-19

Organizaţia Mondială a Sănătăţii a lansat joi platforma online Health System Response Monitor (HSRM), care va oferi dovezi despre cum acţionează sistemele medicale naţionale din Uniunea Europeană în răspunsul privind pandemia de Covid-19.

Joi, 02.04.2020, 15:29

Iranul înregistrează 124 de decese şi 2.875 de contaminări, iar bilanţul covid-19 depăşeşte pragurile de 3.000 de morţi şi 50.000 de contaminări

Iranul a înregistrat 124 de decese în ultimele 24 de ore, a anunţat joi Ministerul Sănătăţii, ceea ce creşte bilanţul morţilor cauzate de noul coronavirus la 3.160, relatează Reuters.

Joi, 02.04.2020, 15:13

Rusia înregistrează 711 de contaminări cu noul coronavirus, iar bilanţul creşte la 3.548 de cazuri şi 30 de morţi în 76 dintre cele 80 de regiuni ale ţării

Numărul contaminărilor cu noul coronavirus confirmate în mod oficial în Rusia a crescut joi la 3.548 - cu 711 mai multe de miercuri - a anunţat centrul rus de gestionarea crizelor, relatează Reuters.

Joi, 02.04.2020, 15:04
„Mamă, trezește-te! Te rog!” S-a izolat în casă cu fiul ei, bolnav de coronavirus, să îl poată îngriji. A fost răpusă chiar ea de COVID-19: „A murit din cauza mea”

„Mamă, trezește-te! Te rog!” S-a izolat în casă cu fiul ei, bolnav de coronavirus, să îl poată îngriji. A fost răpusă chiar ea de COVID-19: „A murit din cauza mea”

Un tânăr se învinovțește pentru moartea mamei sale. Când a aflat că fiul ei a fost despistat cu coronavirus, Linda n-a stat pe ganduri: s-a mutat cu el, ca să-l îngrijească. A fost găsită, fără suflare, chiar de băiatul ei.

Joi, 02.04.2020, 14:51
x